0776-22-4618
当院について
ABOUT

患者さまの「笑顔」をお手伝いする鈴木歯科クリニックです。
ずっと健康で笑顔で過ごしていただけるために
歯科医院にいくのはコワイ、というイメージがあると思います。
当院ではできるだけ痛みを感じないように、痛みのコントロールを常に考えています。
そのために、技術の研鑽を怠りなく治療に臨んでいます。
また、安心、安全、新しい治療法、最新の治療機器を導入して患者様のお役に立ちたいと思っております。
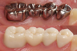
自分も患者として歯科治療の経験があります。
むし歯治療にて、自分の歯と全く異なる色調の金属が口腔内にはいった時のショックは忘れられません。
その時のことを忘れず、患者様の「白い歯治療」へのご相談をお受けしたいと思っております。
「笑顔」と「白い歯」で当院からお帰りになられることが私どもの願いです。
院長 鈴木 清史
当院の特徴

患者さまの「笑顔」をお手伝いします
◆インプラント
当院は、安心安全に配慮してインプラント治療を実施しています。
手術後は、入院の必要はありません。
インプラント治療は保険外治療となります。
ニコニコ シロイハ
0776-22-4618
治療内容
TREATMENT
自由診療
SELF-PAY
セレック治療
■治療期間:一日 日帰りでセラミックのインレー(詰め物)やクラウン(被せ物)の処置が完了してしまうシステムです。
■治療方法:被せ物をコンピュータを使用して作製する、審美技術です
■リスク・副作用:セレック治療は保険外治療となります。くいしばり等の噛み癖の有無、残存歯数によっては、適応でないこともあります。
オールセラミック治療
■治療期間:約1ヶ月~2ヶ月 回数:1週間に2回程度、全2回~6回程度
■治療方法:オールセラミックとは、金属を一切使用せず、すべてがセラミックで作製されたかぶせもので行う治療です。
■リスク・副作用:金属製の銀歯に比べて脆く、衝撃によって割れてしまうことがあります。強度の理由で歯を削る量が多くなります。
オフィスホワイトニング
■治療期間:1日~1週間 回数:来院が可能な時、全1回~3回程度
■治療方法:薬剤を歯に塗布した後、特殊なランプやレーザーを使用して、ホワイトニングの効果を高める方法です。
■リスク・副作用:ホワイトニング薬剤との相性も個人差がありまして、術中、術後に軽い痛みを伴うこともあります。
ホームホワイトニング
■治療期間:2週間~1ヶ月 回数:2週間に1回程度、全3回
■治療方法:ご自宅でおこなう方法です。お口の中の型をとり、専用のマウスピースを作製し、マウスピースに薬剤を塗布し、毎日装着することで、2週間ほどかけて歯を白くしていきます。
■リスク・副作用:一時的に知覚過敏になったり、歯がしみたり痛みを感じたりすることがあります。歯のエナメル質が損傷・破損していたり、歯欠けている場合は、薬剤によって染みるような痛みが出ることがあります。
ノンクラスプデンチャー(入れ歯)
■治療 期間:約1ヶ月~2ヶ月 回数:1週間に1回程度、全5回
■治療方法:部分入れ歯であれば、金属色の見えないものノンクラスプデンチャー等取り扱っております。
■リスク・副作用:ノンクラスプデンチャーは保険外治療となります。残存している歯を利用して固定するため、残存歯の欠損状態で利用できないことがあります。
マウスピース矯正
■治療期間:約9ヶ月~30ヶ月 回数:2週間に1回程度、全24回~48回程度
■治療方法:ご自身の歯列にあわせてつくられたマウスピースを使用して歯を移動させ、歯並び治療をおこなう方法です。
■リスク・副作用:1日20時間以上装着が必要で、噛み合わせに違和感が出ることがあります。
メタルフリー治療
■治療期間:1か月 回数:1週間に1回程度、全2回~12回程度
■治療方法:口の中の金属(パラジウム合金、アマルガム合金)を取り除き、金属アレルギーの不安がないセラミックにかえていく治療です。
■リスク・副作用:金属製の銀歯に比べて脆く、衝撃によって割れてしまうことがあります。
インプラント治療
implant
POINT
01

噛み心地が自然でよく噛めます
POINT
02

メインテナンスをしっかり行えば長持ち
POINT
03

天然歯や歯肉を痛めず全体の歯が長持ち
POINT
04

入れ歯を固定することもできます
治療方法

お口の中の状態により、欠損した歯の数、インプラントを埋入する骨の状態、骨の幅、骨の高さなど、治療方法には様々な選択肢があります。
インプラント治療終了後、患者様が無理のない衛生管理を可能かなどを含め、総合的に検討した上で、治療方法を計画いたします。
インプラント治療についてさらにわかりやすく詳しくご説明いたします。
歯を1本失った場合や数本失った場合など、それぞれの従来治療とインプラント治療の利点・リスクをわかりやすくご説明して、ご理解いただいた上で治療開始となります。
治療の流れ
◆診査と治療計画
インプラント治療に必要な診査を行い、インプラントの治療が可能かどうかを診断
◆フィクスチャー埋入の手術
歯の根に相当する部であるインプラントの部分(フィクスチャー)を手術により顎の骨に埋入します。局所麻酔を用いて行います。
◆治癒期間
手術後、骨とインプラントがしっかり結合されるまでの治癒期間を設けます。3~6ヶ月程度
◆アバットメントの連結
人工の歯の支台となるインプラントの部品(アバットメント)をフィクスチャーに連結
◆診査と治療計画
インプラントを含めたお口の中全体の印象採得(型どり)を行い、その型に合わせて人工の歯を作製します。
◆メインテナンス
インプラント治療の終了後、インプラントを長持ちさせるためには適切なホームケアと定期的な検診が不可欠です。歯科衛生士のアドバイスのもと正しい歯みがきを心がけてください。


インプラント
■治療期間:通院は、10~15回、80日程度 当院は、できるだけ患者さまの負担を軽減するために治療期間の短いインプラント治療を行っております。
■治療内容:歯が失われている 場所のあごの骨に人工歯根(インプラント)を埋め、その上にクラウンやブリッジ、義歯を装着する治療方法です。
■料金:上部構造のセラミックの被せ物 1歯につき275,000円~330,000円(税込)
■リスク・副作用:小手術が必要であるため、腫れ・痛みが伴う場合があります。(個人差があります)全身疾患の有無、診査の結果により治療が行えないケースも場合によってはあります。
診療時間
診療時間
月
火
水
木
金
土
日・祝
9:00~13:00
▲
●
●
●
●
●
✕
14:00~18:30
▲
●
▲
●
●
●
✕
【▲】月曜は隔週お休み、月曜が診療の週は、水曜の午後が休診。月曜日の休診につきましてはWEB予約をご参照頂くか、当院に直接お問い合わせください。
休診日
日曜日・祝日
医院概要
医院名
鈴木歯科クリニック
電話番号
0776-22-4618
FAX番号
0776-22-4689
所在地
〒910-0015 福井県福井市二の宮3-10-3
診 療時間
9:00~13:00 14:00~18:30
休診日
毎週日曜日・祝日 月曜は隔週お休み、月曜が診療の週は、水曜の午後が休診











